オール セラミックス
(ジルコニアボンド、FMZフルジルコニア、E-MAX )
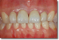
オールセラミック各種取り扱っております。
| 種類 | 製品名 | 特長 |
|---|---|---|
| プレスセラミックス | e-max(イボクラ-ル社) | 強度 400 Mpa 色調がとても美しいオールセラミックス 前歯、臼歯の単冠 インレーアンレーがおすすめ 3本ブリッジまで可能 |
| ジルコニアボンド | (PFZ)(ノリタケ社)(松風ZR) | 強度 1,200 MPa のジルコニアコーピング上にポーセレンを築盛するので色調がとてもキレイ 前歯クラウン・ブリッジ がおすすめ 14本フルアーチが可能 ポンティックは 前歯4本 臼歯3本 |
| フルジルコニア モノリシック |
(FMZ) (ノリタケ) |
強度 1,000 MPaのジルコニア単体削り出しなのでポーセレンのジルコニアからの剥離がない 形成削除量0.7mm 程度でも製作可能 臼歯クラウン、ブリッジ、ベニア・インレー・アンレーがおすすめ 前歯6本ブリッジ 臼歯4本ブリッジが可能 |









